-
广州优里卡光电科技有限公司 挤了一颗痘痘后, 20岁男生住进ICU! 快改掉这个坏风气
发布日期:2025-12-01 06:43 点击次数:138对不少年青东谈主来说广州优里卡光电科技有限公司
脸上冒芳华痘是再常见不外的事
顺遂挤掉着实是下意志的当作
然则近期
一位患者
给总计东谈主敲响了警钟
仅仅挤了颗痘痘
肺竟被啃出十多个空泛
20岁的小林是别称大二学生,前段技艺为了准备践诺,熬了几晚后脸上冒出一颗黄豆大小的痘痘。“又红又肿很出丑,我就念念着挤掉能快点好。”他回忆谈,那时没洗手就对着镜子挤痘痘,脓水挤出来时,他还合计终于澄莹了。
可过了几天,痘痘依旧化脓了,更倒霉的是,小林初始发热、咳嗽,即便吃了退烧药也仅仅暂时退下去,右下胸部传来的难过像有根针在扎,深呼吸、咳嗽时更是疼得他直冒盗汗。
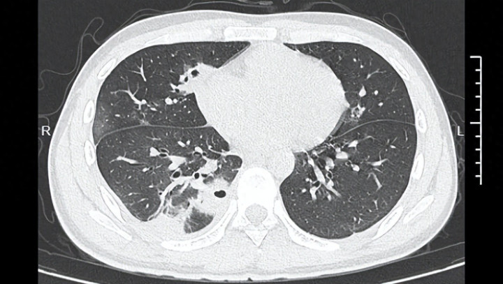
熬到第三天,小林照旧烧到39℃,迅速去病院就诊。CT搜检成果涌现:小林的肺里有十几个空泛,部分肺组织照旧坏死,这是典型的血源性肺脓肿。

小林的CT影像涌现肺里有多个空泛
进一步的细菌培养和基因检测揭开了真相,小林的血液里检出了金黄色葡萄球菌,这种细菌,就藏在每个东谈主的皮肤名义。“‘罪魁首恶’便是那颗被挤掉的痘痘。”丁群力解说,“这颗痘痘长在脸部‘危境三角区’,挤痘痘时的压力把细菌推动了血管,激勉了败血症,接着细菌顺着血流跑到肺部,侵蚀肺组织。”
万幸小林年青,身段教授基础底细好,对药物也较为明锐,过程12天的抗生素疗养,最终告成康复出院。
为什么细菌能通过
一颗痘痘“杀”到肺部?
脸部的“危境三角区”,是指从鼻根到两侧猛烈酿成的三角形规模。“咱们身段里的血管大多有静脉瓣,就像单向阀门同样,能堤防血液逆流,幸免细菌随着血液乱跑。但‘危境三角区’的血管偏巧莫得这个阀门,是十足纵贯式的。”大夫先容。

挤压这个区域的痘痘时,会同期触发两个危境身手:
痘痘本人是毛囊发炎的产物,照旧存在局部感染,挤压会平直玩忽皮肤障蔽,让痘痘里含无数细菌的脓液,讲和到皮下毛细血管;
挤压的压力容易把这些细菌强行推动血管里。莫得静脉瓣的回击,细菌不错顺着血液解放扩散,往上干涉颅内,激勉脑膜炎、脑脓肿等更不吉的疾病,往下顺着全身血液轮回,跑到肺部、肝脏等器官,激勉严重感染。
像小林这么,当细菌跑到肺组织上后,就会初始纵容玩忽肺细胞,激勉局部炎症。随着炎症加重,肺组织会安适坏死、液化,最终酿成一个个空泛。
淌若莫得实时就医,风险还会捏续升级,轻则导致肺脓腔打破,激勉脓胸、脓气胸,胸腔里积满脓液,重则细菌会再次扩散到肝脏、腹黑等要津器官,甚而激勉脓毒症休克,危及人命。即便最终扶直,严重的肺组织坏死也可能留住后遗症,比如肺功能下落,影响后续的平日呼吸。
痘痘不要挤
皮肤可自我成立
大夫领导,关于轻度痘痘,毋庸极度干扰,皮肤有自我成立智力。过度挤压或涂抹刺激性产物,会玩忽皮肤障蔽,加多感染风险。
尤其是“危境三角区”的痘痘更是不行挤挑,要幸免细菌干涉血液。
另外,不要经常触摸痘痘,手上的细菌数目多,反复讲和可能会让细菌反复沾污创口。
一朝出现难过加重或周围皮肤大面积红肿广州优里卡光电科技有限公司,陪伴发热、乏力,出现胸痛、咳嗽、呼吸贫困这些情况,一定要坐窝就医,千万别拖延。

